Un bridge est une prothèse fixe permettant de remplacer une ou plusieurs dents en s’appuyant sur les dents adjacentes.
Fiches conseils - Page 8
Cette couronne tout céramique comporte un noyau à base d’alumine ou de zircone recouvert d’une céramique esthétique.
Garantir à chaque patient des soins de qualité, ceci dans le cadre d’une relation de confiance et de respect mutuel, est à la base de notre activité.
L’occlusion dentaire est l’ensemble des contacts établis entre les dents du maxillaire (fixées au crâne) et les dents de la mandibule (qui est mobile).
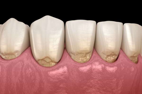
La mylolyse ou lésion cervicale d’usure se définit comme une perte de matière dentaire se localisant au collet de la dent.
Certains troubles dentaires peuvent avoir une origine génétique. Des examens réguliers permettront de déceler toute anomalie.
La dentisterie adhésive regroupe l’ensemble des traitements destinés à reconstruire ou embellir les dents grâce à des techniques de collage.
La brosse à dents électrique permet d’obtenir un nettoyage bucco-dentaire approfondi. Son action lutte efficacement contre la formation de tartre.
Le rôle de l’assistant(e) dentaire peut prendre différentes formes, selon la structure du cabinet et le contenu du poste tel que prévu au départ
Êtes-vous concerné par les apnées du sommeil ?
L’agénésie dentaire est l’absence du germe de l’une ou de plusieurs dents à la naissance.
Il ne peut donc pas y avoir de dent à cet emplacement.
Oui bien sûr ! Ne serait-ce que pour garder le plus longtemps possible ce bon état dentaire.
Catégories
- Fiches conseils (103)
- Vidéos 3D (42)












